「何度も虫歯になるのはなぜ?」矯正・歯周治療・審美治療で根本改善した症例 | 【公式】福岡市平尾の痛くない歯医者さん「デンタルケア平尾」

お問い合わせはこちらから

tel.092-707-1141

ブログ

Blog

2026年04月24日

「何度も虫歯になるのはなぜ?」矯正・歯周治療・審美治療で根本改善した症例

こんにちは、デンタルケア平尾です。

 

 

「何度も虫歯になるのはなぜ?」

「治療してもまたすぐ虫歯になる」 「何度通っても、同じ場所が悪くなってしまう」 当院には、そんなお悩みで来院される方が多くいらっしゃいます。

今回は、虫歯治療をきっかけにご来院された患者様が、歯周治療・矯正治療・審美治療を通して、お口の環境を根本から改善された症例をご紹介します。

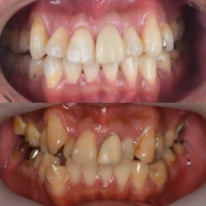
■ 初診時の状態:繰り返す虫歯のサイン

患者様は「虫歯を治したい」とのご希望でしたが、拝見すると以下のような問題が見られました。 ・歯並びの乱れによる磨き残し ・歯ぐきの炎症(歯周病初期) ・複数箇所の虫歯

実は、このまま虫歯治療だけを繰り返しても、リスクは減りません。私たちは、「なぜ虫歯になったのか」という根本的な原因にアプローチする必要があると考えました。

■ まずは土台作り。歯科衛生士による歯周治療から

治療の第一歩は、いきなり削ることではありません。当院の歯科衛生士による、徹底した歯周基本治療からスタートしました。 適切なブラッシング指導 、徹底した歯石除去 、生活習慣の改善 これらにより、患者様ご自身の口腔内への意識が徐々に変わり、「自分の歯を守る」という土台が整いました。

■ 根本治療としての「矯正」と審美の可能性

カウンセリングを重ねる中で、虫歯の原因が「歯並び」にあることを共有し、専門医と連携した矯正治療をご提案しました。 歯並びが整うことで、「磨きやすさ」はもちろん、虫歯・歯周病の予防に直結する環境が手に入ります。

矯正治療が完了し、口腔内が整ったとき、患者様からは「見た目ももっときれいにしたい」という前向きな言葉が。

私たちはその想いに応えるべく、前歯のセラミック治療はトップレベルの歯科技工士にセラミックの作製を依頼し、患者様のお口の中でより快適に長く使っていただけることを目指しています。

ホワイトニングはより効果と安全性の高いものをしようしています。

■ 当院の仕上げ:リナメルトリートメント

美しくなった歯を、さらに強く、健康に保つために。保険のクリーニングとあわせて患者様のご希望に合わせて当院では仕上げに「リナメルトリートメント」を行っています。 メルサージュのハイドロキシアパタイトを使用し、エナメル質を整えて栄養を与えることで、透明感のある艶やかな歯を育てていきます。

■ こんな方へ:当院が大切にしていること

・虫歯を繰り返している方 ・歯並びや口元の見た目が気になる方 ・歯ぐきの腫れや出血がある方

私たちは、治療をして終わりではありません。 「再発させないための根本改善」と「心から笑える美しさ」を両立させたい方は、ぜひ一度ご相談ください。