ホワイトニングとウォーキングブリーチ症例 | 【公式】福岡市平尾の痛くない歯医者さん「デンタルケア平尾」

お問い合わせはこちらから

tel.092-707-1141

ブログ

Blog

2026年04月23日

ホワイトニングとウォーキングブリーチ症例

 

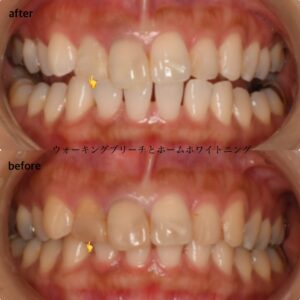
【施術内容】
保険クリーニング(PMTC)+ホームホワイトニング(ポーラナイト3ml×4本)+ウォーキングブリーチ2回

 

【ビフォーアフターの変化】

神経がない歯もホームホワイトニングで白くなりますが限界があります。

歯の内部に薬液を入れてる間にホームホワイトニングを併用して頂きました。

約2週間でしっかりトーンアップ!

気になる黄ばみが除去され、自然な白さに

 

 

【施術内容】
保険クリーニング(PMTC)+オフィスホワイトニング2回(8分×3照射)

 

【ビフォーアフターの変化】

歯の表面のステインやバイオフィルムをしっかり除去した後に施術を行います。

オフィスホワイトニングは4回は必要になるケースが多いですが

2回でもしっかりトーンアップします!

 

 

【推しポイント】
より手軽にできるオフィスホワイトニングは早く白くしたい方や自分でするのが苦手な方におすすめです。

施術中は歯科衛生士が安全性に気を付けて丁寧に処置を行います。みなさんリラックスされて眠られています。

安心してご来院ください。

 

 

【スタッフから一言】
まずはお気軽にご来店ください♪